Q&A with a Board-Certified Veterinary Surgeon

Back in August of 2022, Dr. Anderson, one of our board-certified veterinary surgeons, joined Heidi Brenegan, our Chief Marketing Officer, for a Facebook Live video. During the video, Dr. Anderson answered a variety of questions centered around his own experience as a surgeon and common questions pet owners have about their pet’s surgery.
You can read below for a summary of the Q&A or watch the full video replay with more extensive information, including an insightful conversation about treatment options for a viewer’s dog’s torn CCL, here:
How long have you been a board-certified veterinary surgeon?
Dr. Anderson: Twenty years as of 2022. I passed my exam and completed all of my credentials in 2002.
- Complete a 1–2-year internship
- Complete a 3-year residency
- Keep a logbook to record all surgeries that you do. You have to complete so many of each category, all supervised by a board-certified surgeon. You then submit all that information.
- Take a 3-day exam and if you pass, then you are a board-certified surgeon.
This is all on top of undergrad & veterinary school – it can be a 12-year process!

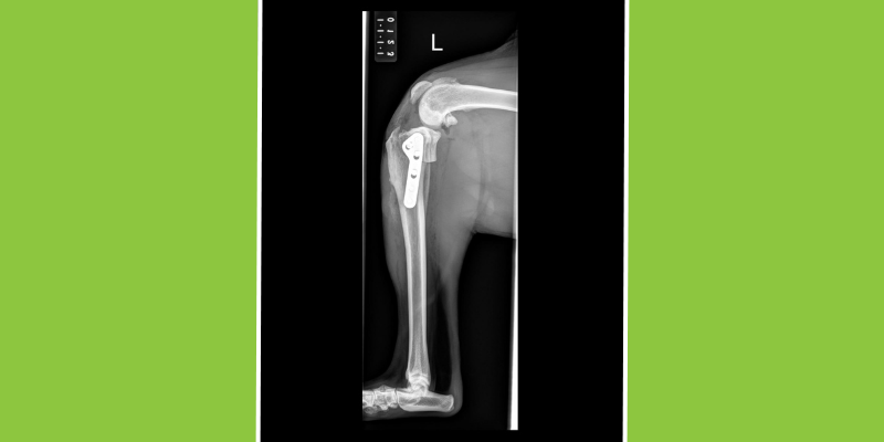
X-ray after a TPLO surgery.
At AERC, how many surgeries do you perform in a day?
Dr. Anderson: Typically, 3-7 surgeries a day, so about 6-15 surgeries per week. It’s more than that when we add after-hour emergency surgeries.
What’s your favorite surgery to perform?
Dr. Anderson: My favorite general category is reconstructive surgery. That includes if a dog or cat sustains trauma & has a large wound. It involves treating that wound & subsequently, doing surgeries to help close that wound.
For a specific procedure – my favorite is a total ear canal ablation. This is a surgery where we remove the ear canal. That probably sounds a little strange – why in the world would you need to do that? Well, when dogs have allergies, one of the places it manifests is in the ear canal. The dog gets itchy & scratches their ear. Then they get more inflamed. In time, there are permanent changes that can make the ear not salvageable, and the dog then can’t hear out of it very well and it’s a source of pain. This surgery removes that source of pain. When the pet comes in for suture removal 2 weeks after surgery, the feedback I get from pet owners is “Wow – my pet feels so much better! I never realized how much discomfort they were in!” Because it is a gradual thing, but now their dog is more outgoing, more affectionate, less head shy – and that’s a really satisfying surgery!

An x-ray of a foreign body – a corn cob that a dog ate!
Do you do foreign body surgery where you take things out of pets that they ate that they shouldn’t have?
Dr. Anderson: Do I!? Seems like constantly! This is a pretty common surgery we do at AERC. Typically, it’s a young dog who ate or swallowed something they shouldn’t – it might be a chew toy or something covered in bacon grease. They swallow it, it tasted good, and then it will travel down their intestine and it won’t quite fit. It will get obstructed, everything backs up. Your pet will stop eating, start vomiting, & overall, not feel well.
If a pet like that comes into AERC, on the exam, they are also dehydrated and have abdominal pain. So, when we gently feel their belly – they’ll give us subtle signs that ‘hey, that doesn’t feel good’. The pet will then get x-rays where we can see patterns within the intestines that tell us there is an obstruction. We use that information to make a recommendation to go to surgery.
And I know you mentioned dogs, and this is probably the most common animal that this happens in, but let’s not forget that this can happen to cats. My family was baking some salmon in tin foil once and my cat at the time ate the tin foil and went to surgery at AERC. Or there are the kitties who eat dental floss or part of the cat toy. So it happens to the cats, too.
Dr. Anderson: Yeah, it sure does. And the nice thing about the tin foil is that it shows up on x-rays. The linear stuff (dental floss, sewing thread, chewed up carpet) – when a cat swallows one end and keeps working at it, trying to get the whole thing in their mouth, it will get the other end but it will be hung up around the tongue. The tongue then acts as an anchor – not all the time, but typically, and the rest of the thread travels. The gastrointestinal tract tries to move the thread and all the things attached to it along, but it’s being anchored. So, this creates an accordion placation where the intestines become bunched and gathered. This can cut right through the wall of the intestine – so it’s a dangerous situation and those cats need to go to surgery.
Any memorable foreign bodies? Pets eat all kinds of things!
Dr. Anderson: A dog ate its owner’s colostomy bag! The dog went to surgery and it was removed, but that’s probably the strangest! Common foreign bodies though include fishhooks, toys – sometimes the toy is exposed on the x-ray and it’s silly, and Gorilla Glue, which is expanding foam that hardens.

Let’s talk about anesthesia in pets because people are sometimes really frightened of it, and from what I’ve heard, it’s not something to be frightened of.
Dr. Anderson: I agree – in my daily practice, often pet owners have concerns about anesthesia. I’ve had pet owners tell me that someone, maybe even their family veterinarian, told them they “can’t do anesthesia because he’s over 12.”
With age comes medical conditions that can affect anesthesia, but by itself, there’s no age cut-off that precludes anesthesia. There are factors that we take into account, and a lot of the things we have concerns about can be sifted out by our specialists.
For instance, an older dog who has a heart murmur and is in need of a dental or surgery for a hernia. There are legitimate concerns about that patient going under anesthesia. [At AERC], we have cardiologists who can evaluate the patient & do their best to assess the anesthesia risk. The vast majority of the time, those murmurs are benign, and they don’t add risk to the anesthetic plan.
The same is true for a dog who has Cushing’s Disease. There is a concern for anesthesia, and we have services that help sift some of those concerns out prior to anesthesia.
Our anesthetic technicians are the best. They do anesthesia every day & that’s all they do. They are very good at it. And some of them have gone on and done advanced certificates to qualify them as specialists in veterinary anesthesia. So, any pet that undergoes anesthesia is in good care. Sometimes, we recruit our anesthesiologist, too – this is a doctor and specialist in anesthesia who is a great resource for some of those patients who have conditions that make their anesthesia plan a little riskier.
In your opinion, what is the best question a pet parent can ask a surgeon either before or after their pet’s surgery?
Dr. Anderson:
- Do you feel comfortable doing the procedure? What is your experience with the procedure?
- Don’t feel bashful about asking! No veterinarian will be offended by receiving those questions. We are talking about pets, and we need to advocate for our pets and those are very fair questions.
- What are you going to do for pain control after surgery?
- What might I expect in terms of activity restriction after surgery?
- For some pets, you may need to pick up a crate for crate restrictions after surgery, so you’ll want to know beforehand and be prepared!
- If you’re not sure about the procedure, don’t hesitate to ask for clarification.
We want pet owners to have an understanding of the treatment the pet is about to undergo. So, I encourage pet owners to be an advocate for your pet and yourself and ask for clarification if something isn’t clear.

We hope this Q&A with Dr. Anderson helps provide helpful information about veterinary surgery, what it means to be a board-certified veterinary surgeon, and the importance of prevention! If you have any questions or concerns about your pet’s health, talk to your family veterinarian. If surgery is deemed necessary, ask about a referral to our Surgery Service. To help avoid emergency surgery, we always recommend pet-proofing your home, maintaining regular appointments with your vet, and consulting with your family veterinarian if you notice anything off about your pet.
More Reading:
- 5 Most Common Pet Surgeries at AERC
- 5 Most Common Reasons for Pets to Require Emergency Surgery
- Five Veterinary Radiology Imaging Options for Pets
- Why is My Pet Limping?
- How to Tell if Your Pet Has Ingested a Foreign Body
