blogs, pet blog, pet health blog, Animal Emergency & Referral Center of Minnesota, Twin Cities pets, Minnesota pets, Saint Paul pets, Oakdale pets, Minnesota emergency vet, Twin Cities emergency vet, Minnesota veterinary referral center, Twin Cities veterinary referral center, veterinary blog

Happy 2023! As we begin a new year, we’re taking a quick look back at 2022 to compile a list of our most popular blogs! It’s become a tradition here to create this annual list, so, without further ado, here are our top ten blogs of 2022! 

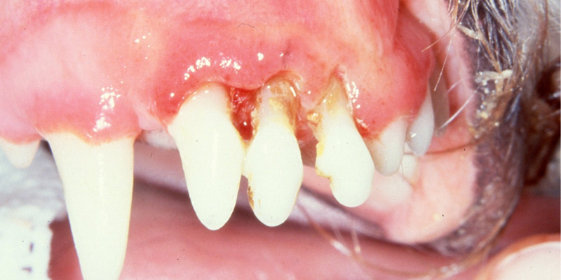
Periodontal Disease, Periodontal Disease in pets, Periodontal Disease in dogs, Periodontal Disease in cats, veterinary dentistry, AERC Dentistry & Oral Surgery Service, Animal Emergency & Referral Center of Minnesota, AERC, Minnesota veterinary dentist, Minnesota board-certified veterinary dentist, Twin Cities board-certified veterinary dentist, Oakdale veterinary dentistry

10. Top Five Things Pet Owners Need to Know about Periodontal Disease

Written by Elizabeth Brine, DVM, DAVDC.

In honor of Pet Dental Health Month (February), Dr. Brine, one of our board-certified veterinary dentists, wrote about the top five things she wants pet owners to know about periodontal disease, the most common disease in dogs & cats. 

Read here: https://www.aercmn.com/blog/top-five-things-pet-owners-need-to-know-about-periodontal-disease 

pet health, CT scan, veterinary radiology imaging options, advanced imaging for pets, veterinary imaging, veterinary radiology, board-certified radiologist, Animal Emergency & Referral Center of Minnesota, Twin Cities veterinary radiologist, Minnesota veterinary radiologist, Minnesota veterinary imaging, Twin Cities veterinary imaging, pet health

9. Five Veterinary Radiology Imaging Options

Written by Jon Nevins, DVM, DACVR.

Here at AERC, diagnostic imaging and radiology are an essential part of our hospitals. In this blog, Dr. Nevins, one of our board-certified veterinary radiologists, explains the differences between x-ray, ultrasound, CT, MRI, and fluoroscopy and when your pet may need one option over another.  

Read here: https://www.aercmn.com/blog/five-veterinary-radiology-imaging-options-for-pets 

veterinarian, heart, heart health, cardiologist, Cardiomyopathies, Cardiomyopathies in dogs, Cardiomyopathies in cats, dilated cardiomyopathy, hypertrophic cardiomyopathy, pet health, veterinary cardiology, board-certified veterinary cardiologist, Twin Cities veterinary cardiologist, Minnesota veterinary cardiologist, Animal Emergency & Referral Center of Minnesota

8. Common Causes & Symptoms of Cardiomyopathies in Dogs and Cats

Written by Michelle Rose, DVM, DACVIM (Cardiology) 

Cardiomyopathies are diseases of the heart muscle, and they can affect dogs, cats, humans, and a multitude of other species. In this blog, Dr. Rose, one of our board-certified veterinary cardiologists, explains common causes and symptoms of cardiomyopathies in dogs and cats. 

Read here: https://www.aercmn.com/blog/common-causes-and-symptoms-of-cardiomyopathies-in-dogs-and-cats 

autumn pet toxins, autumn pet hazards, fall pet toxins, fall pet hazards, pet health, pet safety, emergency vet, Animal Emergency & Referral Center of Minnesota, Twin Cities emergency vet, Minnesota emergency vet, veterinary, Twin Cities, Saint Paul, Oakdale, Minnesota

7. 10 Common Autumn Pet Hazards

Written by Janine Hagen, AERC’s Marketing Assistant 

Throughout the year, common pet hazards and toxins in our ER rotate with the seasons. In this blog, we list the ten most common autumn pet hazards so that pet parents can hopefully avoid these preventable pet emergencies. 

Read here: https://www.aercmn.com/blog/ten-common-autumn-pet-hazards/ 

Tornado safety for pets, storm safety for pets, tornado tips for pet owners, tornado preparedness, tornado safety, Minnesota veterinary, Twin Cities emergency vet, Minnesota emergency vet, Animal Emergency & Referral Center of Minnesota, pet health, pet dangers, pet safety, pet hazards

6. Tornado Safety for Pets

Written by Janine Hagen, AERC’s Marketing Assistant. 

In Minnesota, it’s important to have a tornado emergency plan for your family and your pets! In this blog, we shared tips on how pet parents can prepare for a tornado, as well as what to do when a tornado watch is active in your area. 

Read here: https://www.aercmn.com/blog/tornado-safety-for-pets/ 

pet cancer, cancer in pets, pet cancer myths, veterinary oncology veterinary oncologist, board-certified veterinary oncologist, AERC Oncology Service, Animal Emergency & Referral Center of Minnesota, understanding cancer in pets

 5. Debunking Pet Cancer Myths

Content provided by Briana Keller, DVM, DACVIM (Oncology), cHPV. 

Cancer. This topic can be sensitive, as well as confusing and frightening. Additionally, there are many misconceptions and misunderstandings about cancer in pets. In this unique blog, we took content from a Facebook Live video featuring Dr. Keller, one of our board-certified veterinary oncologists, to debunk common pet cancer myths & share what it’s really like to have a pet with cancer. 

Read here: https://www.aercmn.com/blog/debunking-pet-cancer-myths/ 

cat health, cat urinary issues, cats, litter box issues, Feline Idiopathic Cystitis, urinary obstructions in cats, Animal Emergency & Referral Center of Minnesota, cat emergency

4. Recognition & Management of Feline Idiopathic Cystitis and Urinary Obstructions in Cats

Written by Sarah Humphrey, DVM, DACVECC.

Whether your cat is peeing outside the litter box, straining to urinate, or has another urinary issue, there is a reason for a cat parent to be concerned. In this blog, Dr. Humphrey, one of our board-certified veterinary criticalists, shares what all cat owners need to know about recognizing and managing feline idiopathic cystitis and urinary obstructions in cats.  

Read here: https://www.aercmn.com/blog/recognition-and-management-of-feline… 

cat, yarn, what to do if pet eats foreign body, how do i know if my pet ate foreign body, foreign body symptoms in cats, foreign body symptoms in dogs, foreign body treatment for pets, pet emergency, foreign body, foreign body obstruction, foreign body surgery, pets, pet health, AERC Surgery, AERC Critical Care and Emergency Medicine, Animal Emergency & Referral Center of Minnesota, Twin Cities emergency vet, Saint Paul emergency vet, Oakdale emergency vet, Minnesota emergency vet

3. How to Tell if Your Pet Has Ingested a Foreign Body

Written by Melanie Neufeld, DVM.

How do you know if your pet has ingested a foreign body? When should you go to the pet ER? These are great questions and both are answered in this blog by Dr. Neufeld, one of our emergency veterinarians. She also covers what to expect for treatment! 

Read here:  https://www.aercmn.com/blog/how-to-tell-if-your-pet-has-ingested-a-foreign-body 

dog parks, dog park dangers, dog bites, dog bite wounds, dog emergency, pet emergency, dog owners, dog parents, Animal Emergency & Referral Center of Minnesota, bite prevention, dog bite injuries, keep your dogs safe, dog park safety tips

2. The Dark Side of Dog Parks: Bite Wounds in Dogs

Written by Anna Malone, DVM. 

During the summer as Minnesotans and their dogs spend more time outside and at dog park, our ER sees an uptick in injuries caused by dog bites. In this blog, Dr. Malone, one of our emergency veterinarians, shares how dog owners can prevent dog bite incidents at the dog park and what to do if your dog does get bit. 

Read here: https://www.aercmn.com/blog/dark-side-of-dog-parks-bite-wounds-in-dogs 

Fourth of July pet safety, Fourth of July pet dangers, pet health, pet hazards, pet safety, pet emergency, emergency vet, Animal Emergency & Referral Center of Minnesota, Minnesota emergency vet, Twin Cities emergency vet

1. Fourth of July Pet Dangers

Written by Janine Hagen, AERC’s Marketing Assistant.  

Fourth of July is a busy holiday for most Minnesotans, so it’s no surprise pet parents want to know how to keep their pets safe while enjoying time at the cabin, on the lake, or at the family BBQ! From potential toxins to hazards and dangers including heatstroke, this blog covers it all to help families avoid a trip to the pet ER during their summer adventures. 

Read here: https://www.aercmn.com/blog/fourth-of-july-pet-dangers 

blogs, pet blog, pet health blog, Animal Emergency & Referral Center of Minnesota, Twin Cities pets, Minnesota pets, Saint Paul pets, Oakdale pets, Minnesota emergency vet, Twin Cities emergency vet, Minnesota veterinary referral center, Twin Cities veterinary referral center, veterinary blog

 We hope you’ve enjoyed our 2022 blogs and have learned valuable information on how to best care for your pets! Our emergency veterinarians, specialists, and other team members are already busy preparing great content for you to read in 2023!  

Animal Emergency & Referral Center of Minnesota, Fast Track Triage, color-coded triage system, pet emergency, Twin Cities emergency vet, Minnesota emergency vet, Saint Paul emergency vet, Oakdale emergency vet